Animali impiegati a scopo scientifico: uno sguardo ai dati dell'Italia
R4L | Newsletter 3/2021
Nel report dell'Unione europea pubblicato a luglio e dedicato agli animali impiegati a scopo scientifico nel 2018, una sezione è dedicata ai dati dei diversi Paesi membri (più la Norvegia). Tale sezione consente di guardare più da vicino quanti e quali animali siano impiegati in Italia, e confrontare i dati con quelli di altri Paesi europei. Tra le informazioni che emergono da questa sezione del report, si può innanzitutto osservare che da noi gli animali impiegati a scopi scientifici nel 2018 sono oltre il 3% in meno rispetto all'anno precedente.
«La riduzione del numero di animali utilizzati in Italia sembra essere totalmente a carico della ricerca di base che, come sappiamo, è quella che necessità più fondi perché non dà risultati immediatamente utilizzabili ma è il volano della crescita futura», commenta Giuliano Grignaschi, direttore di Research4Life. «Come dimostrano anche questi dati, lo hanno capito molto bene gli altri Paesi europei, che investono molto in questo ambito e quindi consentono di portare avanti le attività sul loro territorio. Ancora una volta le cause e gli effetti del ben noto fenomeno della fuga dei cervelli sono sotto i nostri occhi: meno ricerca di base significa rinunciare a essere all’avanguardia»
GRAVITÀ DELLE PROCEDURE: UNA VALUTAZIONE NECESSARIA
Come viene classificata la gravità delle procedure quando gli animali sono impiegati a fini scientifici? Che tipo di sofferenze tiene in conto, e secondo quali parametri? Capire come viene valutata la gravità delle procedure in cui vengono impiegati gli animali è un passo fondamentale per capire come tutelarne il benessere. Per questa ragione, abbiamo dedicato un articolo a questo tema, andando a vedere cosa prevedono la direttiva europea e la legge italiana.
Questo tema richiama inoltre l'uso degli humane endpoint, che rappresentano un criterio guida per l'impiego degli animali a scopi scientifici e hanno un ruolo fondamentale per mitigare, se non eliminare, la sofferenze (intesa sia dal punto di vista fisico sia in termini di stress psicologico) degli animali. Questo è fondamentale non solo per il benessere degli animali ma anche per garantire un corretto risultato scientifico: dolore, paura, stress e sofferenza sono infatti elementi che possono andare a creare un bias degli studi.
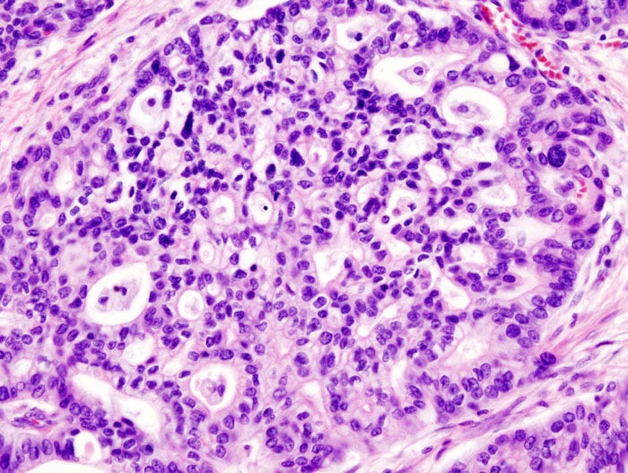
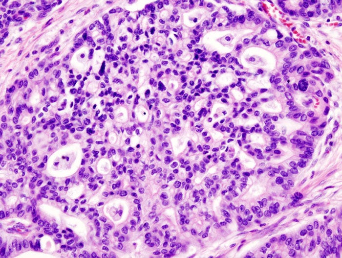
Contro il tumore del pancreas un possibile aiuto per l'immunoterapia
Da alcuni anni l’immunoterapia è considerata una delle strategie di cura più promettenti in oncologia, ma con importanti eccezioni, tra cui il tumore del pancreas. Questo dipende soprattutto dal microambiente nel quale il tumore è immerso, fortemente ostile alle cellule immunitarie che potrebbero attaccare il tumore stesso. Ora, i risultati di uno studio ottenuti grazie al sostegno di Fondazione AIRC e condotto da Giampaolo Tortora, oncologo del Policlinico Universitario Gemelli di Roma, lavorando con un modello murino, sembra aver identificato una nuova possibile strada per vincere questa resistenza
Animali usati a scopi scientifici: ma quali scopi?
Come parte della serie di articoli dedicati ad analizzare i dati che emergono dal report europeo sugli animali impiegati a scopi scientifici in Unione europea, abbiamo qui analizzato quali siano i principali scopi d'impiego. Si tratta di un tema importante, anche perché i diversi scopi influenzano la gravità delle procedure utilizzate; inoltre, queste informazioni consentono di evidenziare eventuali settori in cui sollecitare maggiore attenzione alla corretta applicazione delle 3R
Animali nella ricerca scientifica: quanti e quali?
Il report europeo pubblicato a luglio e riferito ai dati sull'impiego degli animali a scopi scientifici nel 2018 offre diverse e importanti informazioni sul complesso mondo della sperimentazione animale. Stiamo raccogliendo in una serie di articoli alcuni degli elementi più importanti che ne emergono, a partire